Tuberculosis avanzada, radiografía de tórax

Tuberculosis avanzada, radiografía de tórax
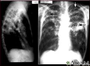
La tuberculosis es una enfermedad infecciosa que causa inflamaciones, formación de tubérculos y la aparición de otras expansiones tisulares que pueden causar necrosis tisular. Estas radiografías de tórax muestran una tuberculosis pulmonar avanzada en la cual se observan varias áreas claras (opacidades) de diferentes tamaños, unidas unas con las otras (coalescencia). Las flechas señalan la localización de las cavidades de estas áreas claras. La radiografía de la izquierda muestra claramente que las opacidades están localizadas en el área superior de los pulmones, vistas desde la parte posterior. Esta es la apariencia típica de la tuberculosis pulmonar crónica, pero también puede ocurrir en la histiocitosis pulmonar crónica y en la coccidioidomicosis pulmonar crónica. La tuberculosis pulmonar está reapareciendo nuevamente con una mayor resistencia que la hace difícil de tratar; la tuberculosis pulmonar es la forma más común de la enfermedad, aunque otros órganos también pueden ser infectados.
Revisado por
Jatin M. Vyas, MD, PhD, Roy and Diana Vagelos Professor in Medicine, Columbia University Vagelos College of Physicians and Surgeons, Division of Infectious Diseases, Department of Medicine, New York, NY. Also reviewed by David C. Dugdale, MD, Medical Director, Brenda Conaway, Editorial Director, and the A.D.A.M. Editorial team.
Descargo de responsabilidad